北京索莱宝科技有限公司

专注于生物学试剂及试剂盒领域

服务热线:18101056239

技术文章

ARTICLE

当前位置:首页技术文章病理染色——各种组织切片方法如何选择

病理染色——各种组织切片方法如何选择

更新时间:2025-11-05点击次数:729

组织学被定义为对细胞和组织的微观结构(显微解剖学)的科学研究,其重要组成就是组织的制片和染色观察。随着显微镜技术和免疫实验等的发展,组织制片切片技术也得到了广泛的应用,自常用的石蜡切片、冰冻切片中演化出了碳蜡切片、塑封切片、振动切片和超薄切片等等适用于不同实验需求的制片方式。今天,小编就来带大家一起了解一下这些切片方式和它们的应用方向。

石蜡切片碳蜡切片塑封切片超薄切片
石蜡PEGHMMA、GMA环氧树脂
3-8um3-8um0.5-2um50-80nm
组织结构保存良好,能切连续薄片,组织形态清晰,抗原定位准确。具有一般石蜡切片优点的同时不经过强有机溶剂处理,抗原保存效果较石蜡切片好。包埋块硬度高,适用于带入植物组织和未脱钙骨组织包埋。组织块保存时间长,切片无需额外处理。是一种特殊的塑封切片,能应用于电镜成像。
制片周期较长,组织经高温和有机试剂处理,对抗原保存和酶活性以及脂质保存等均有影响。碳蜡熔点低易吸湿,样本须-20℃干燥保存,展片前避免沾水。制片周期长于石蜡切片,包埋试剂较繁琐,须专门的切片机切片,染色前须脱塑。制片周期最长,仅用于电镜扫描样本制片,制片前须经常规塑封切片定位。


冰冻切片速冻切片振动切片
OCTOCT琼脂或水凝胶
10-20um10-20um20-150um
包埋周期短,抗原及酶活性保存佳。制片周期最短,常应用于术中快速制片,组织抗原表位和活性保存佳。先染色后固定,适用于低细胞密度组织的染色,多用于脑组织。亦可用于免疫电镜制片前预定位。
需要快速取材,全程低温处理。处理不当易产生冰晶破坏组织形态,样本相对石蜡包埋样本而言无法长期保存。操作需使用液氮快速处理,需要一定经验,组织形态较差,包埋样本。须专用震动切片设备和漂片染色板。组织本身未固定未脱水,须小心操作。


1、石蜡切片

常规染色,组化或是荧光优先推荐做石蜡切片。

原因:石蜡切片对组织的形态保存比冰冻切片好,并且对抗原基本无影响

如HE染色、结缔组织多色染色、神经组织染色、细胞内色素以及沉着物染色、DAB显色、荧光标记染色等均建议优先制成石蜡切片。

染色目的染色方法适用样本
常规形态学染色HE染色所有动物组织样本
结缔组织多色染色Masson三色/改良Masson三色等心、肝、肾、肺、小肠、皮肤等
Weigert-EVG复合染色、victoria-EVG复合染色等动脉血管、肺、皮肤等
胶原纤维染色改良天狼星红染色心、肝、肾、肺、皮肤等
弹力纤维染色Gomori醛品红/维多利亚蓝/weigert品红等动脉血管、肺、皮肤等
网状纤维染色Gomori氨银染色、Gordon-Sweets氨银染色等肝、肾等
骨组织染色软骨阿利新蓝染色等耳、鼻、喉软骨,气管壁、关节等
软骨/成骨 番红固绿染色、goldner三色膝关节、下颌骨、鼻梁骨等
成骨茜素红、Von Kossa染色未脱钙骨组织、钙盐沉积组织如肝、肾等
破骨细胞ACP染色新生发育/愈伤骨组织(必须EDTA脱钙)
神经组织染色尼氏体染色(焦油紫、甲苯胺蓝等)脑、脊髓
髓鞘染色 (牢固蓝、变色酸2R等)脑、脊髓
神经纤维镀银染色脑、脊髓
退化神经元 FJC染色脑、脊髓

例:

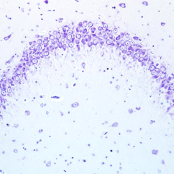
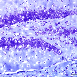
image.pngimage.png
脑组织-尼氏染色-冰冻切片脑组织-尼氏染色-石蜡切片


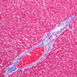
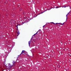
image.pngimage.png
肝组织-Masson染色-冰冻切片肝组织-Masson染色-石蜡切片


2、碳蜡切片

   不经过脱水透明步骤,对于脂质等结构保存效果优于石蜡切片,适用于肝脏组织用甲醛钙固定液固定后的油红O染色,

3、塑封切片

对于硬度较高的成骨组织钙盐染色和较韧的植物组织染色,例如钙盐茜素红染色和植物甲苯胺蓝染色,可以考虑制成塑封切片,降低切片难度,从而更好的显示钙盐沉积情况和植物的显微结构。

4、超薄切片

   对于高尔基染色电镜观察之前,用于阳性神经元部位定位。

5、冰冻切片

脂质染色(油红O染色,苏丹染色)必须做冰冻切片,使用异丙醇固定(不能使用丙酮固定,会脱脂),经多聚甲醛固定后脂质会呈空泡状态。脑组织NOS酶染色可以先使用PFA-蔗糖溶液固定沉糖脱水后再进行包埋切片。

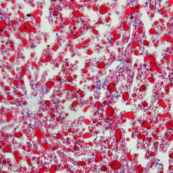
G1261-Oil Red-Paraffin.pngG1261-Oil Red-OCT.png
脂肪肝组织-油红O染色-石蜡切片脂肪肝组织-油红O染色-冰冻切片































6、速冻切片

对于不能固定的新鲜组织酶化学染色,宜采取直接使用液氮速冻、OCT包埋制成切片,大部分酶活均能很好保存下来,如ATP酶染色、ALP染色、ROS染色、β-半乳糖甘酶染色、SDH染色、MAO染色等。

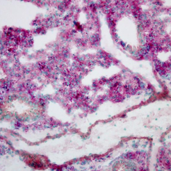
G1491-ACP-Paraffin.pngG1491-ACP-OCT.png
肺组织-碱性磷酸酶(ACP)染色-石蜡切片肺组织-碱性磷酸酶(ACP)染色-冰冻切片































7、振动切片

组织不冰冻,无冰晶形成和组织抗原破坏,在免疫组化染色前避免了组织脱水、透明、包埋等步骤对抗原的损害,能较好地保留组织内脂溶性物质和细胞膜抗原,主要用于显示神经系统抗原分布研究,如脑组织的高尔基染色。


注意事项

1、需要进行石蜡包埋的组织一般不能冰冻。如果标本已经放在-80℃冰箱冷冻了之后又想要做石蜡切片,将标本取出来千万不要解冻直接放于固定液内固定(在固定液内边解冻边固定)。

2、组织形态结构保存完好程度顺序:新鲜组织立即投入固定液内固定石蜡切片>组织-80℃冷冻后投入固定液内固定石蜡切片>新鲜组织立即投入固定液内固定冰冻切片>组织-80℃冷冻后直接冰冻切片。


返回列表
  • 服务热线 010-50973130
  • 电子邮箱

    3193328036@qq.com

扫码加微信

Copyright © 2026 北京索莱宝科技有限公司版权所有    备案号:

技术支持:化工仪器网    sitemap.xml