更新时间:2026-01-20
点击次数:240
中枢神经系统疾病是一类影响脑和脊髓的复杂病理状态,涵盖阿尔茨海默病、帕金森病、脑卒中、多发性硬化等神经退行性、血管性及免疫介导的病变。这些疾病常伴随神经元丢失、突触功能障碍以及持续性的神经炎症反应,导致认知衰退、运动协调障碍等临床表现。小胶质细胞作为中枢神经系统中的主要免疫效应细胞,其活化与功能状态在疾病进程中起关键作用。IBA1(Ionized calcium-binding adapter molecule 1,离子化钙结合接头分子1)是小胶质细胞和单核/巨噬细胞系的特异性标志蛋白,能够稳定反映小胶质细胞的形态变化与激活水平。尽管IBA1并非致病因子,但因其高度特异性和敏感性,已成为研究神经炎症机制、评估疾病进展及治疗响应的重要工具,被广泛称为“小胶质细胞的分子名片"。小编本期推荐的明星抗体K300003RR,可是侦察IBA1蛋白的得力干将,让我们一起来认识下吧!
明星抗体三维数据卡

抗体靶标
IBA1不仅是小胶质细胞和巨噬细胞的特异性标记物,还在炎症反应和组织修复过程中扮演重要角色。作为肌动蛋白交叉连接蛋白,IBA1在细胞骨架重组、膜褶皱形成及吞噬活动中发挥关键作用,是研究神经炎症、中枢神经系统疾病以及免疫应答过程中巨噬细胞活化与迁移的重要分子标记。在阿尔茨海默病、帕金森病、脑卒中等多种神经系统疾病模型中,IBA1的表达水平显著上调,其免疫染色可清晰显示小胶质细胞的形态变化与激活状态,因此被广泛应用于神经免疫领域的研究。
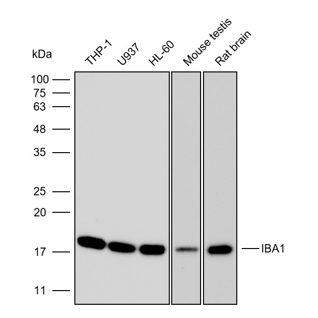
蛋白分子量
IBA1蛋白质的标准序列含有147个氨基酸,理论分子量约17kDa,实际蛋白分子量约17kDa(参考Western blot验证结果)。

亚细胞定位
离子化钙结合接头分子1(IBA1)主要定位于细胞骨架、突触、吞噬杯。

图2 IBA1的亚细胞定位示意图(From UniProt)
组织分布
IBA1是小胶质细胞的特异性标志物,在中枢神经系统中表达MAX。同时,在外周组织的单核-巨噬细胞系统(如肝脏库普弗细胞、肺泡巨噬细胞和脾脏)中也有广泛表达。在病理状态下,如神经炎症、脑损伤或神经退行性疾病中,IBA1的表达显著上调,伴随小胶质细胞活化与形态改变,这常用于评估炎症程度及免疫反应动态。
生物学功能
IBA1是一种特异性表达于单核/巨噬细胞系的支架蛋白,在小胶质细胞中高度富集,是研究中枢神经免疫反应的重要分子标记。其生物学功能主要与细胞骨架动态调控和免疫应答密切相关。IBA1通过与F-actin等细胞骨架蛋白相互作用,参与调控细胞的形态变化、迁移和吞噬活动。在神经炎症或脑损伤等病理状态下,小胶质细胞被激活,IBA1表达显著上调,并伴随细胞由静息态向阿米巴样形态转变,增强其趋化性和吞噬能力,以清除细胞碎片、异常蛋白聚集体及病原体,发挥神经保护作用。此外,IBA1还参与调节NADPH氧化酶复合物的组装,影响活性氧(ROS)的产生,从而在炎症信号通路中发挥调控作用。尽管IBA1本身不直接引发疾病,但其表达水平和分布模式可灵敏反映小胶质细胞的活化状态,因此被广泛用于阿尔茨海默病、帕金森病、多发性硬化等神经退行性疾病的机制研究与病理评估。综上,IBA1不仅是小胶质细胞的身份标识,更在维持中枢神经系统稳态和介导免疫监视中发挥关键功能。
数据库链接分享

第三十六期产品星推荐就到这里啦!想要了解更多产品信息,请联系网站负责人~